Tras varios meses de sufrir una grave tos, un hombre decidió acudir al hospital, en la ciudad de Hamm, en Alemania. Ahí, los médicos descubrieron que el joven tenía una moneda atorada en uno de sus pulmones.

Al descubrir esto, el joven dijo que se tragó la moneda de un centavo en enero mientras jugaba a los dardos con un amigo, y luego se le olvidó.

Mi amigo me golpeó la espalda, me asusté y tragué la moneda con la que jugaba en la boca. ‘Lo que entra también sale’, pensé, y no me hice más problema

Afortunadamente, los neumólogos del hospital lograron extraer la moneda, luego de que el hombre presentara molestias y neumonía.

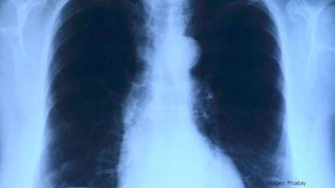
En las radiografías, los médicos distinguieron en el sistema bronquial un objeto metálico ajeno y decidieron actuar inmediatamente.

El paciente decidió guardar la moneda extraída en la operación en su cartera como amuleto de la suerte.