Una coalición mundial dentro de la iniciativa Lung Ambition para México presentó la aplicación “Qtrack”, que tiene como propósito apoyar a los doctores en la detección temprana de cáncer de pulmón.
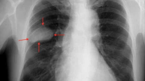
El desarrollo de la aplicación estuvo a cargo de la empresa Qure.Al y es capaz de ubicar con facilidad los nódulos pulmonares solitarios, que suelen medir menos de tres centímetros, mismos que generalmente se encuentran por accidente al realizar radiografías o tomografías computarizadas, según explican especialistas en salud.
We are the Lung Ambition Alliance – a collaboration between @AstraZeneca, @globalungcancer, @GuardantHealth and @IASLC. Together, we are dedicated to eliminating #lungcancer as a cause of death. Follow us to learn more about our mission. #LCSM pic.twitter.com/ooikvymbMD
— Lung Ambition Alliance (@LungAmbition) June 1, 2021
Los nódulos pulmonares son indicadores tempranos de cáncer de pulmón, enfermedad que durante 2020 registró siete mil 811 casos nuevos y seis mil 733 muertes en México, según datos del Instituto Nacional de Salud Pública.
Con inteligencia artificial, luchan contra cáncer de pulmón
Para Alberto Hegewisch, director médico de AstraZeneca México, la inteligencia artificial es una gran aliada para el campo de la medicina y permite ofrecer una mejor atención a los pacientes, así como evitar más muertes.
“La inteligencia artificial ha demostrado ser una gran aliada para los médicos que la utilizan con la finalidad de acortar los tiempos para obtener diagnósticos certeros y ofrecer tratamientos adecuados a las personas que los requieren”, explicó.
Te puede interesar: Wegovy, el medicamento aprobado por EU para bajar de peso
“En AstraZeneca hemos acelerado el uso de la tecnología para mejorar la velocidad de los estudios clínicos con el uso de infraestructura conectada y plataformas tecnológicas adaptándonos a la nueva normalidad y alejándonos de los paradigmas tradicionales de la oncología”, añadió.
Cáncer de pulmón, reto de salud pública en México
El Instituto Nacional de Salud Pública menciona que el cáncer de pulmón representa un reto importante para la salud pública en México, ya que es una de las principales causas de muerte.
Aunque las tendencias de mortalidad han disminuido entre 1990 y 2006 con un promedio de 1.9 % por año a nivel nacional, señala que “la mayoría de los casos de cáncer de pulmón (alrededor del 71 %) están relacionados con el tabaquismo.
La exposición al humo de tabaco de segunda mano, al gas radón y al humo de leña y combustibles sólidos son otros factores importantes que aumentan el riesgo de desarrollar esta enfermedad”.
Te puede interesar: Día Internacional de los Tumores Cerebrales: cefalea síntoma de alerta